
مهدی فهیمی هنزائی
آدرس و تلفن تماس
درباره من
«دكتر مهدى فهيمى هنزائى»
✨متخصص ارتودنسى و ناهنجاريهاى فك و صورت✨
?داراى بوردتخصصى ارتودنسی
?استاديارسابق دانشگاه
?مدرس سابق و طراح سوالات آزمونهای جهاد دانشگاه علومپزشکی شهیدبهشتی
?فارغ التحصيل دانشگاه شهيدبهشتى
?رتبه ۶۸ آزمون كنكور سراسرى (دوره ی عمومی)
?رتبه ۳۳ آزمون تخصص کشوری
?عضو انجمن ارتودنسي
?عضو بنياد نخبگان
?عضو بنياد استعدادهاى درخشان
⬇️
⬇️
⬇️
?آدرس مطب:تهران،ميدان صادقيه،خيابان ستارخان،قبل از پل يادگار امام(بازارچه سنتى ستارخان)،جنب فرش شاهكار مشهد،پلاك٣،طبقه اول.واحد اول
تلفن:
44205192?
09352553931?(وتس آپ و تلگرام و روبیکا و بله)
?لوکیشن مطب:
https://goo.gl/maps/o4Y1ofke9anucP5K6
.
.
.
اينستاگرام:www.instagram.com/dr_mehdifahimi
سايت www.drfahimi-ortho.com
آپارات:
www.aparat.com/drmehdifahimi
یوتیوب:
https://youtube.com/channel/UCun9QqSQVWh8leFdr9QeuSA
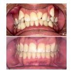
گالری




نظرات درمورد مهدی فهیمی هنزائی
مهدی فهیمی هنزائی، متخصص در شهر تهران است. مطب مهدی فهیمی هنزائی در تهران،ميدان صادقيه،خيابان ستارخان،قبل از پل يادگار امام(بازارچه سنتى ستارخان)،جنب فرش شاهكار مشهد،پلاك ٣،طبقه اول.واحد اول واقع شده است که در صورت نیاز میتوانید با شماره 021-44205192 تماس بگیرید.
تاکنون 4.4K نفر از پروفایل مهدی فهیمی هنزائی، متخصص بازدید کردهاند؛ همچنین 100٪ مراجعین (62 نظر ثبت شده) از ایشان رضایت داشتهاند. نظرات مهدی فهیمی هنزائی در پروفایل دکتر در پذیرش۲۴ قابل مشاهده است.
اگر زمان کافی برای مراجعه حضوری به پزشک مورد نظر خود را ندارید، به پروفایل پزشک در پذیرش۲۴ سری بزنید و در صورت فعال بودن خدمات ویزیت آنلاین ایشان، نوبت ویزیت آنلاین خود را دریافت کنید؛ در غیر اینصورت میتوانید از سایر پزشکان متخصص ویزیت آنلاین (تلفنی و متنی) نوبت بگیرید.
در صورت نیاز به عکس و بیوگرافی و آدرس اینستاگرام مهدی فهیمی هنزائی، کانال تلگرام و وبسایت ایشان، اطلاعات موجود در پروفایل ایشان را مشاهده نمایید.